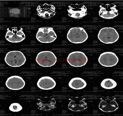
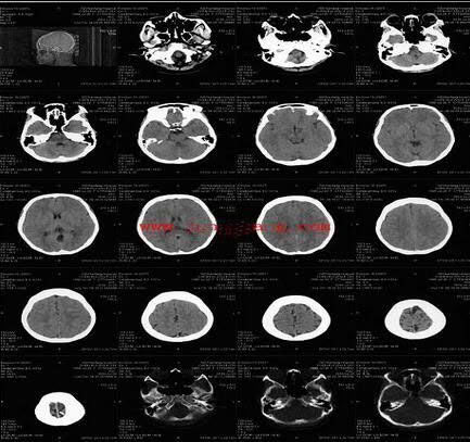
CT脑部医用胶片
产品名称:CT脑部医用胶片
品牌名称:君安康
型号规格:JAK
产地:广东·深圳
批准文号:无
招商单位:深圳市君安康医疗科技有限公司
生产厂家:深圳市君安康医疗科技有限公司
招商区域:全国 全国各地区
代理留言:0
点击次数:2702
更新时间: 2024-09-24
给厂家留言,让厂家主动联系你
君安康公司的CT脑部医用胶片:适用于放射科CT检查图片的输出。高清、打印速度快、不怕曝光、无毒、多用途,价格低廉。CT脑部医用胶片:适用于放射科CT检查图片的输出。CT脑部医用胶片:适用于放射科CT检查图片的输出。规格:8*10(203*254mm)10*12(254*305mm)11*14(279*356mm)14*17(356*432mm) 更多 CT脑部医用胶片 价格、说明、厂家,请关注医贸天下医疗器械网





